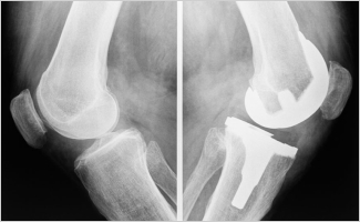
Preoperative Opioid Use, Fatigue Severity May Predict Pain After TKA

Patients who undergo total knee arthroplasty (TKA) are more likely to experience higher levels of postoperative pain based on several preoperative factors, including rates of opioid use, fatigue severity, and illness perception. This is according to a study published in the European Journal of Pain.

Comment
expand_more expand_less